Kasus Pelanggan. Blok Zirconia 4D
Diterbitkan pada: August 29, 2024
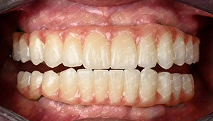
Master: Ivaylo Dimitrov dari Bulgaria
Bahan: Yucera 4D Pro Multilayer Zirconia Disc
Bayangan: A1
Diterbitkan pada: August 29, 2024
Master: Ivaylo Dimitrov dari Bulgaria
Bahan: Yucera 4D Pro Multilayer Zirconia Disc
Bayangan: A1
TINGGALKAN PESAN
Kami akan segera menelepon Anda kembali!
Pesan Anda harus antara 20-3.000 karakter!
Silakan periksa email Anda!
Lebih banyak informasi memudahkan komunikasi yang lebih baik.
Berhasil dikirim!
Kami akan segera menelepon Anda kembali!
TINGGALKAN PESAN
Kami akan segera menelepon Anda kembali!
Pesan Anda harus antara 20-3.000 karakter!
Silakan periksa email Anda!